Our Services

Invisalign®

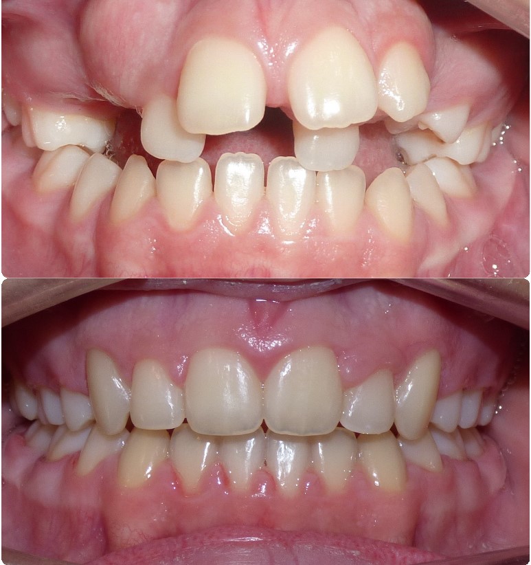
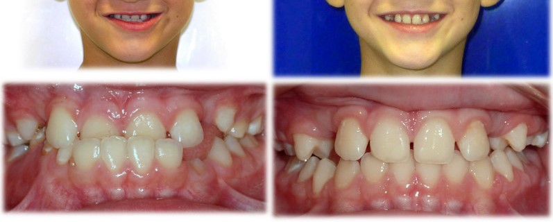
Stop developing misaligned bites and teeth in their tracks with Invisalign First aligners from Olympus Pointe Orthodontics. This 3-D printed clear aligner system is designed specifically for our youngest patients (ages 6-10) to help their teeth grow straighter and their smiles become bigger and brighter.

Invisalign First is the ideal way to give your child the best oral health while providing a gentle, enjoyable, and simplified way to well-aligned teeth, bites, and jaws.

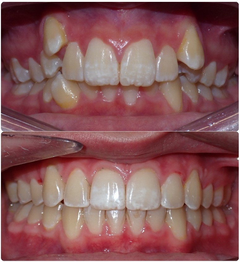
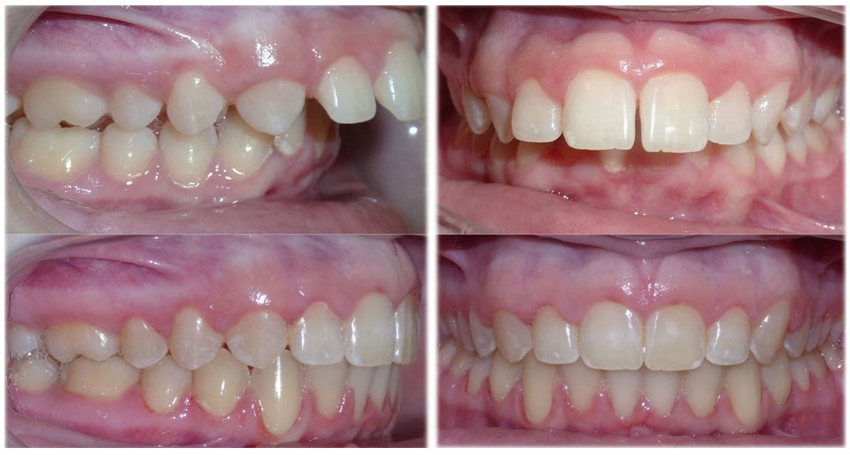
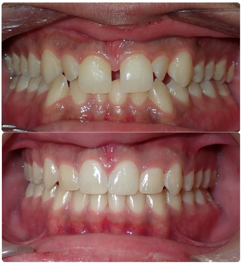
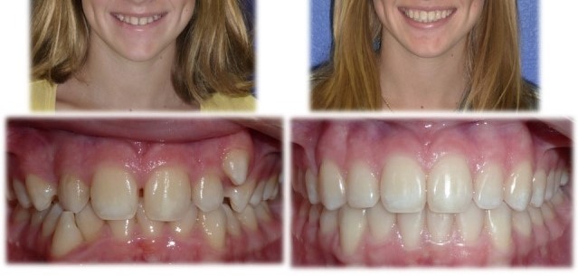
Braces

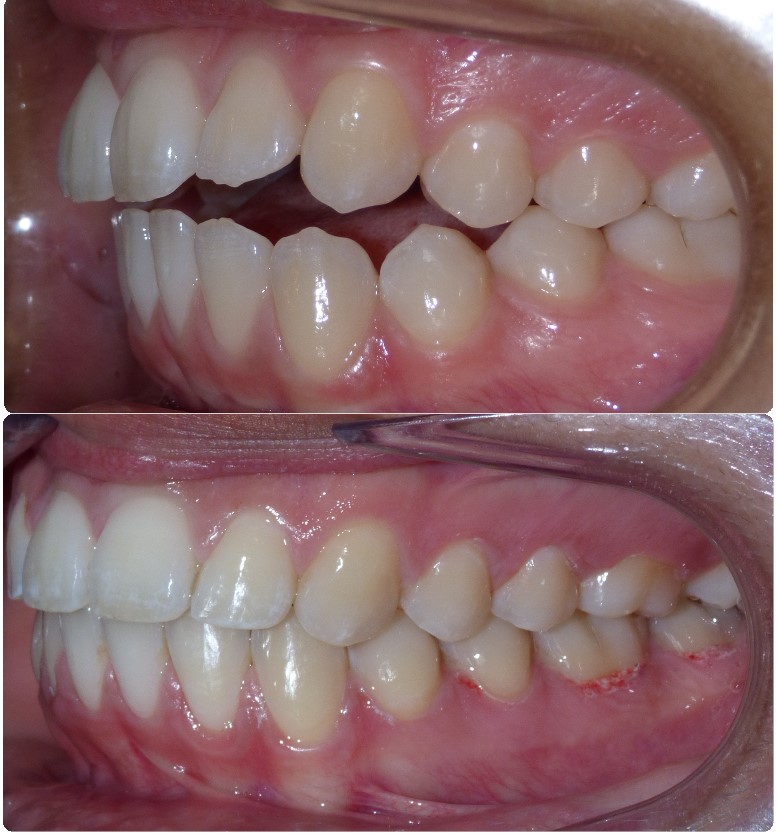
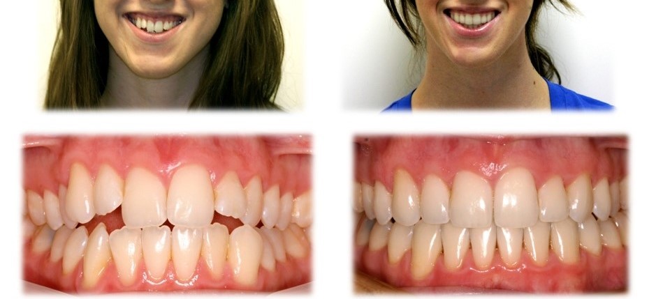
Not all braces are the same!  Braces (metal and clear) that we use in our office are technologically advanced and are smaller and more efficient than the traditional ones used in the past. There is no “tightening” involved.  Newer braces design and technology in combination with specialized, high-tech wires that we use in our practice, allow for more gentle, continuous orthodontic forces and less friction, which can result in less discomfort, fewer adjustments, and shorter treatment times compared to traditional braces from years ago. If patients want, they can also customize the braces with fun-colored elastics throughout the orthodontic treatment journey.